研究成果 Research Results

Protein deficiency linked to fluid buildup in brain

New research shows that dysfunction of the protein Tsukushi causes hydrocephalus by altering neuron generation in the mouse brain 2021.04.01
Research ResultsLife & Health
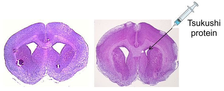
Effect of Tsukushi protein on a mouse brain
In the brains of mice genetically engineered to not produce the protein Tsukushi, the lateral ventricles are expanded (left), but injection of Tsukushi reverses this expansion.

An international collaborative effort has identified a protein as a candidate for the diagnosis and therapy of hydrocephalus, a medical condition caused by buildup of fluid in cavities in the brain and associated with mental impairment.

Inside the brain are several connected cavities filled with cerebrospinal fluid, a clear liquid serving multiple functions. The largest two of these cavities, known as lateral ventricles, are flanked by zones containing neural stem cells and rich in extrinsic growth factors regulating cell maintenance, proliferation, and neuronal differentiation.

Disruption in the regulation of these so-called subventricular zones has been known to cause expansion of the lateral ventricles, leading to hydrocephalus. However, the underlying mechanisms for such disruption have been unclear.

Now, a research team led by Kyushu University and including researchers from 12 universities and five research centers has shown that deficiency of the protein Tsukushi in cells lining the lateral ventricle and in the cerebrospinal fluid results in hydrocephalus with neurodevelopmental disorder-like symptoms in mice.

These symptoms are accompanied by altered differentiation and survival of the neural stem cell lineage, disrupted structure of the ventricle lining, and dysregulated signaling by proteins.

Further supporting the importance of the protein, the researchers found that multiple variants of Tsukushi found in patients with hydrocephalus exhibit reduced physiological activity in mice both in vivo and in vitro.

On the other hand, administration of wild-type Tsukushi protein or signaling antagonists, but not of hydrocephalus-related Tsukushi variants, in the lateral ventricle of mice genetically engineered to not produce Tsukushi prevented hydrocephalus and preserved neuron generation in the subventricular zone.

These observations suggest that Tsukushi plays a crucial role as a molecule modulating the fate of neural stem cells in the subventricular zone and point to Tsukushi as a candidate for the diagnosis and therapy of hydrocephalus.

###

For more information about this research, see “Dysfunction of the proteoglycan Tsukushi causes hydrocephalus through altered neurogenesis in the subventricular zone in mice,” Naofumi Ito, M. Asrafuzzaman Riyadh, Shah Adil Ishtiyaq Ahmad, Satoko Hattori, Yonehiro Kanemura, Hiroshi Kiyonari, Takaya Abe, Yasuhide Furuta, Yohei Shinmyo, Naoko Kaneko, Yuki Hirota, Giuseppe Lupo, Jun Hatakeyama, Felemban Athary Abdulhaleem M, Mohammad Badrul Anam, Masahiro Yamaguchi, Toru Takeo, Hirohide Takebayashi, Minoru Takebayashi, Yuichi Oike, Naomi Nakagata, Kenji Shimamura, Michael J. Holtzman, Yoshiko Takahashi, Francois Guillemot, Tsuyoshi Miyakawa, Kazunobu Sawamoto, and Kunimasa Ohta, Science Translational Medicine (2021). https://doi.org/10.1126/scitranslmed.aay7896

Research-related inquiries

Kunimasa Ohta, Professor
Department of Stem Cell Biology, Faculty of Arts & Science

Contact information can also be found in the full release.